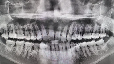
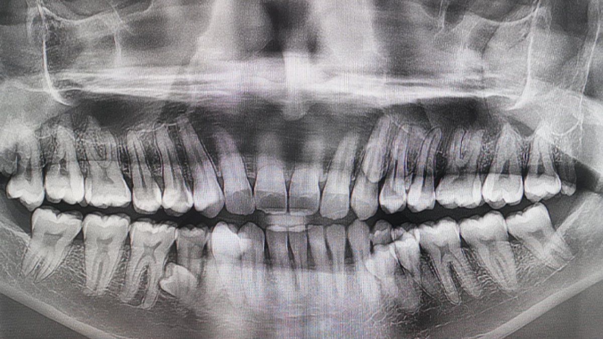
Цей чоловік має найбільшу кількість зубів у світі - на 10 більше, аніж зазвичай має людина
Зубастик!

Чоловік має найбільшу кількість зубів у світі / Джерело: guinnessworldrecords
Чоловік із Малайзії здивував світ своєю незвичайною усмішкою – у його роті найбільша кількість зубів серед чоловіків у світі. Пратхаб Муніанді має 42 зуби, що на 10 більше, ніж у середньостатистичної людини, яка зазвичай має 32.
Його рекорд офіційно підтвердили у 2023 році після обстеження двома стоматологами. Цікаво, що лікарі також виявили ще два зуби, які поки не прорізалися. Пратхаб, який працює інженером у нафтово-газовій галузі, розповів, що вперше звернув увагу на незвичайну особливість у 2021 році під час сімейного чаювання. “Я сказав родині, що мені здається, ніби у мене ростуть зайві зуби. Ми разом їх порахували й виявили, що на той момент у мене було 38 зубів,” – пригадує він.
Попри таку незвичайну особливість, більшість людей навіть не помічають додаткових зубів, доки Пратхаб сам не зверне на це увагу. “Люди дуже дивуються і спершу не вірять, коли дізнаються, що у мене на десять зубів більше, ніж у більшості людей,” – каже він.
За словами чоловіка, додаткові зуби не створюють жодних проблем зі здоров’ям. Він просто уважно стежить за гігієною ротової порожнини – чистить зуби двічі на день і регулярно користується зубною ниткою. Пратхаб зізнається, що дуже пишається своїм досягненням. “Це неймовірне відчуття – знати, що ти володієш світовим рекордом за кількістю зубів”.